Form cover
Страница 1 из 1

NBO-1 2025

Эл. почта

Tапшырмалар / Задания

Клеточная биология

1. Универсальным носителем энергии считается __________________________________________________________________________ Бул универсалдуу энергия ташуучу деп саналат.

1. Универсальным носителем энергии считается __________________________________________________________________________ Бул универсалдуу энергия ташуучу деп саналат.
A
B
C
D

2. Рибосомы в клетках эукариот расположены __________________________________________________________________________
Эукариоттук клеткаларда рибосомалар жайгашкан

2. Рибосомы в клетках эукариот расположены __________________________________________________________________________ Эукариоттук клеткаларда рибосомалар жайгашкан
A
B
C
D

3. На рисунке изображен некий полипептид человека. Скорее всего, его можно обнаружить: __________________________________________________________________________
Сүрөттө адамдын белгилүү бир полипептиддери көрсөтүлгөн. Көбүнчө аны табууга болот:

https://storage.tally.so/af7399c4-61c9-434e-8b14-41f199e86257/Screenshot-2025-01-17-at-14.29.09.png
3. На рисунке изображен некий полипептид человека. Скорее всего, его можно обнаружить: __________________________________________________________________________ Сүрөттө адамдын белгилүү бир полипептиддери көрсөтүлгөн. Көбүнчө аны табууга болот:
A
B
C
D

4. На рисунке изображена фаза митотического клеточного деления: __________________________________________________________________________
Сүрөттө клетканын бөлүнүшүнүн митоздук фазасы көрсөтүлгөн:

https://storage.tally.so/2731e45c-e658-4fdb-b185-93636ccfe1dc/Screenshot-2025-01-17-at-14.34.10.png
4. На рисунке изображена фаза митотического клеточного деления: __________________________________________________________________________ Сүрөттө клетканын бөлүнүшүнүн митоздук фазасы көрсөтүлгөн:
A
B
C
D

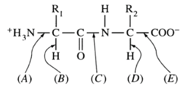
5. Известно, что ферменты-пептидазы гидролизуют пептидные связи в маленьких белках. Какая химическая связь будет подвергаться гидролизу при обработке дипептида, изображенного ниже, одной из пептидаз? __________________________________________________________________________
Белгилүү болгондой, пептидаза ферменттери майда белоктордогу пептиддик байланыштарды гидролиздейт. Төмөндө көрсөтүлгөн дипептидди пептидазалардын бири менен иштеткенде кайсы химиялык байланыш гидролизденет?

https://storage.tally.so/efd33629-c95b-410b-9cfd-cc2c0108df85/Screenshot-2025-01-17-at-14.37.08.png
5. Известно, что ферменты-пептидазы гидролизуют пептидные связи в маленьких белках. Какая химическая связь будет подвергаться гидролизу при обработке дипептида, изображенного ниже, одной из пептидаз? __________________________________________________________________________ Белгилүү болгондой, пептидаза ферменттери майда белоктордогу пептиддик байланыштарды гидролиздейт. Төмөндө көрсөтүлгөн дипептидди пептидазалардын бири менен иштеткенде кайсы химиялык байланыш гидролизденет?
A
B
C
D

6. При фотосинтезе полностью погруженные водные растения могут вызывать изменение рН окружающей воды. Какое изменение pH происходит и что его вызывает? __________________________________________________________________________
Фотосинтез аркылуу толугу менен сууга чөккөн суу өсүмдүктөрү курчап турган суунун рН өзгөрүшүнө алып келиши мүмкүн. рН кандай өзгөрөт жана ага эмне себеп болот?

https://storage.tally.so/9ce55f6a-808f-419c-a983-98982f5f3a6f/Screenshot-2025-01-17-at-14.44.13.png
6. При фотосинтезе полностью погруженные водные растения могут вызывать изменение рН окружающей воды. Какое изменение pH происходит и что его вызывает? __________________________________________________________________________ Фотосинтез аркылуу толугу менен сууга чөккөн суу өсүмдүктөрү курчап турган суунун рН өзгөрүшүнө алып келиши мүмкүн. рН кандай өзгөрөт жана ага эмне себеп болот?
A
B
C
D

7. Найдите соответствие между белками и выполняемыми ими функциями.
1 - коллаген; 2 - пепсин; 3 - кератин; 4 - иммуноглобулин; 5 - гемоглобин; 6 - фибриноген; 7 - гемоцианин; 8 - глутаминсин-тетаза.
І - структурные белки; II - ферменты; III - транспортные белки;
IV - защитные белки. __________________________________________________________________________
Белоктор менен алар аткарган кызматтардын ортосундагы дал келүүнү табыңыз.
1 - коллаген; 2 - пепсин; 3 - кератин; 4 - иммуноглобулин; 5 - гемоглобин; 6 - фибриноген; 7 - гемоцианин; 8 - глутамин синтаза.
I - структуралык белоктор; II - ферменттер; III - транспорттук белоктор; IV - коргоочу белоктор.

7. Найдите соответствие между белками и выполняемыми ими функциями.1 - коллаген; 2 - пепсин; 3 - кератин; 4 - иммуноглобулин; 5 - гемоглобин; 6 - фибриноген; 7 - гемоцианин; 8 - глутаминсин-тетаза.І - структурные белки; II - ферменты; III - транспортные белки;IV - защитные белки. __________________________________________________________________________ Белоктор менен алар аткарган кызматтардын ортосундагы дал келүүнү табыңыз.1 - коллаген; 2 - пепсин; 3 - кератин; 4 - иммуноглобулин; 5 - гемоглобин; 6 - фибриноген; 7 - гемоцианин; 8 - глутамин синтаза.I - структуралык белоктор; II - ферменттер; III - транспорттук белоктор; IV - коргоочу белоктор.
A
B
C
D
E

8. Укажите признаки, нехарактерные для гликолиза.
1 - реакции проходят на кристах митохондрий; 2 - чистый выход АТФ равен двум молекулам; 3 - реакции протекают в цитоплазме;
4 - требуется обязательное наличие кислорода; 5 — из одной молекулы глюкозы образуется две молекулы пировиноградной кис-лоты; 6 - образуется ацетилкофермент А; 7 - чистый выход АТФ равен четырем молекулам; 8 - в итоге образуются СО2 и H2О.
__________________________________________________________________________
Гликолизге мүнөздүү эмес белгилерди көрсөтүңүз.
1 - реакциялар митохондриялык кристаллдарда пайда болот; 2 - АТФтин таза кирешеси эки молекула; 3 - цитоплазмада реакциялар болот; 4 - кычкылтектин болушу милдеттүү; 5 - глюкозанын бир молекуласынан пирожүзүмдүү кислотанын эки молекуласы түзүлөт; 6 - ацетилкоэнзим А түзүлөт; 7 - АТФтин таза кирешеси төрт молекула; 8 - натыйжада CO2 жана H2O пайда болот.

8. Укажите признаки, нехарактерные для гликолиза.1 - реакции проходят на кристах митохондрий; 2 - чистый выход АТФ равен двум молекулам; 3 - реакции протекают в цитоплазме;4 - требуется обязательное наличие кислорода; 5 — из одной молекулы глюкозы образуется две молекулы пировиноградной кис-лоты; 6 - образуется ацетилкофермент А; 7 - чистый выход АТФ равен четырем молекулам; 8 - в итоге образуются СО2 и H2О.__________________________________________________________________________Гликолизге мүнөздүү эмес белгилерди көрсөтүңүз.1 - реакциялар митохондриялык кристаллдарда пайда болот; 2 - АТФтин таза кирешеси эки молекула; 3 - цитоплазмада реакциялар болот; 4 - кычкылтектин болушу милдеттүү; 5 - глюкозанын бир молекуласынан пирожүзүмдүү кислотанын эки молекуласы түзүлөт; 6 - ацетилкоэнзим А түзүлөт; 7 - АТФтин таза кирешеси төрт молекула; 8 - натыйжада CO2 жана H2O пайда болот.
A
B
C
D
E

9. Какие утверждения о митозе растительной и животной клетки верны: __________________________________________________________________________
Өсүмдүктөрдүн жана жаныбарлардын клеткаларынын митозу жөнүндө кайсы сөздөр туура:

9. Какие утверждения о митозе растительной и животной клетки верны: __________________________________________________________________________ Өсүмдүктөрдүн жана жаныбарлардын клеткаларынын митозу жөнүндө кайсы сөздөр туура:

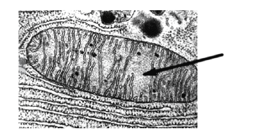
10. На рисунке изображена органелла клетки, которая:
__________________________________________________________________________
Сүрөттө бир клетка органелли көрсөтүлгөн:

https://storage.tally.so/361581c7-85a1-46e4-a48c-828433c4c27d/Screenshot-2025-01-17-at-12.52.03.png
10. На рисунке изображена органелла клетки, которая: __________________________________________________________________________Сүрөттө бир клетка органелли көрсөтүлгөн:

Анатомия и Физиология Животных Жаныбарлардын анатомиясы жана физиологиясы

11. Перед вами два рисунка – образец и его копия, выполненная больным: __________________________________________________________________________ Бул жерде эки чийме бар - үлгү жана пациент тарабынан чийилген анын көчүрмөсү:

https://storage.tally.so/c5f2f5aa-a847-459f-b039-2d870877a521/Screenshot-2025-01-17-at-09.37.56.png
11. Перед вами два рисунка – образец и его копия, выполненная больным: __________________________________________________________________________ Бул жерде эки чийме бар - үлгү жана пациент тарабынан чийилген анын көчүрмөсү:
A
B
C
D

12. На рисунке представлено гистологическое строение кожи человека. Укажите минимальный уровень (1 – 4) глубины поражения ожогом, при котором пропадет болевая чувствительность: __________________________________________________________________________
Сүрөттө адамдын терисинин гистологиялык түзүлүшү көрсөтүлгөн. Оору сезгичтиги жок боло турган күйүк тереңдигинин минималдуу деңгээлин (1 – 4) көрсөтүңүз:

https://storage.tally.so/c22b6ad8-b8f2-40d8-9cd2-8fa19351c422/Screenshot-2025-01-17-at-09.41.33.png
12. На рисунке представлено гистологическое строение кожи человека. Укажите минимальный уровень (1 – 4) глубины поражения ожогом, при котором пропадет болевая чувствительность: __________________________________________________________________________ Сүрөттө адамдын терисинин гистологиялык түзүлүшү көрсөтүлгөн. Оору сезгичтиги жок боло турган күйүк тереңдигинин минималдуу деңгээлин (1 – 4) көрсөтүңүз:
A
B
C
D

13. На рисунке представлены фрагменты ЭКГ человека.
При повышении уровня калия в крови (гиперкалиемии) у человека будет регистрироваться ЭКГ как на фото: __________________________________________________________________________
Сүрөттө адамдын ЭКГсынын фрагменттери көрсөтүлгөн.
Кандагы калийдин деңгээли жогорулаганда (гиперкалиемия) адамдын төмөндөгү ЭКГсы жазылат:

https://storage.tally.so/b68438b3-f861-4e55-a467-b0bd7cb24285/Screenshot-2025-01-17-at-09.46.42.png
13. На рисунке представлены фрагменты ЭКГ человека.При повышении уровня калия в крови (гиперкалиемии) у человека будет регистрироваться ЭКГ как на фото: __________________________________________________________________________ Сүрөттө адамдын ЭКГсынын фрагменттери көрсөтүлгөн.Кандагы калийдин деңгээли жогорулаганда (гиперкалиемия) адамдын төмөндөгү ЭКГсы жазылат:
A
B
C
D

14. Новорожденной крысе имплантировали 4 золотых стержня в большеберцовую кость так, как показано на рисунке. В процессе роста изменится расстояние между стержнями: __________________________________________________________________________
Жаңы төрөлгөн келемишке сүрөттө көрсөтүлгөндөй, 4 алтын таякчалар бел сөөгүнө имплантацияланган. Өсүү процессинде таякчалардын ортосундагы аралык өзгөрөт:

https://storage.tally.so/9885d134-53c4-47ef-b720-115f39addf00/Screenshot-2025-01-17-at-09.50.40.png
14. Новорожденной крысе имплантировали 4 золотых стержня в большеберцовую кость так, как показано на рисунке. В процессе роста изменится расстояние между стержнями: __________________________________________________________________________ Жаңы төрөлгөн келемишке сүрөттө көрсөтүлгөндөй, 4 алтын таякчалар бел сөөгүнө имплантацияланган. Өсүү процессинде таякчалардын ортосундагы аралык өзгөрөт:
A
B
C
D

15. В онтогенезе человека существуют периоды, когда развивающийся организм наиболее подвержен действию вредных факторов. Во время эмбрионального этапа развития такими критическими периодами являются: __________________________________________________________________________
Адамдын онтогенезинде өнүгүп келе жаткан организм зыяндуу факторлордун таасирине эң эле кабылган мезгилдер болот. Эмбрионалдык өнүгүү стадиясында мындай критикалык мезгилдер болуп төмөнкүлөр саналат:
I. Гаметогенез (овогенез & сперматогенез)
II. Имплантация зародыша в стенку матки / Эмбрионду жатындын дубалына имплантациялоо
III. Смыкание нервной трубки / Нейрондук түтүктүн жабылышы
IV. Закладка основных органов и формирование плаценты / Негизги органдардын жатышы жана плацентанын пайда болушу V. Новорожденность / Жаңы төрөлүү

15. В онтогенезе человека существуют периоды, когда развивающийся организм наиболее подвержен действию вредных факторов. Во время эмбрионального этапа развития такими критическими периодами являются: __________________________________________________________________________ Адамдын онтогенезинде өнүгүп келе жаткан организм зыяндуу факторлордун таасирине эң эле кабылган мезгилдер болот. Эмбрионалдык өнүгүү стадиясында мындай критикалык мезгилдер болуп төмөнкүлөр саналат: I. Гаметогенез (овогенез & сперматогенез)II. Имплантация зародыша в стенку матки / Эмбрионду жатындын дубалына имплантациялооIII. Смыкание нервной трубки / Нейрондук түтүктүн жабылышыIV. Закладка основных органов и формирование плаценты / Негизги органдардын жатышы жана плацентанын пайда болушу V. Новорожденность / Жаңы төрөлүү
A
B
C
D

16. Жизненный цикл вируса иммунодефицита человека (HIV-1) - это сложный многоступенчатый процесс, включающий взаимодействие белков HIV-1 с макромолекулами хозяина. Начальная фаза состоит из инфицирования клеток хозяина и интеграции вирусного генома. Поздняя фаза жизненного цикла состоит из регулируемой экспрессии продуктов вирусного генома, за которой следует образование вирусных частиц. Протеом HIV состоит из 20 различных молекул, только часть которых распознается иммунной системой. Иммуногенные молекулы обозначены на рисунке. Укажите все возможные верные утверждения из следующих. __________________________________________________________________________ Адамдын иммундук жетишсиздигинин вирусунун (HIV-1) жашоо цикли HIV-1 белокторунун кабыл алуучу макромолекулалар менен өз ара аракеттенүүсүн камтыган татаал көп баскычтуу процесс. Баштапкы фаза кабыл алуучу клеткалардын инфекциясынан жана вирустук геномдун интеграциясынан турат. Жашоо циклинин кеч фазасы вирустук геномдук продуктулардын жөнгө салынган экспрессиясынан, андан кийин вирустук бөлүкчөлөрдүн пайда болушунан турат. ВИЧ протеому 20 түрдүү молекуладан турат, алардын бир бөлүгү гана иммундук система тарабынан таанылат. Иммуногендик молекулалар сүрөттө көрсөтүлгөн. Төмөнкүлөрдөн мүмкүн болгон бардык туура айтылгандарды көрсөтүңүз.

https://storage.tally.so/4e50b607-003e-4e04-a523-bfd311b44c1f/Screenshot-2025-01-17-at-10.15.58.png
16. Жизненный цикл вируса иммунодефицита человека (HIV-1) - это сложный многоступенчатый процесс, включающий взаимодействие белков HIV-1 с макромолекулами хозяина. Начальная фаза состоит из инфицирования клеток хозяина и интеграции вирусного генома. Поздняя фаза жизненного цикла состоит из регулируемой экспрессии продуктов вирусного генома, за которой следует образование вирусных частиц. Протеом HIV состоит из 20 различных молекул, только часть которых распознается иммунной системой. Иммуногенные молекулы обозначены на рисунке. Укажите все возможные верные утверждения из следующих. __________________________________________________________________________ Адамдын иммундук жетишсиздигинин вирусунун (HIV-1) жашоо цикли HIV-1 белокторунун кабыл алуучу макромолекулалар менен өз ара аракеттенүүсүн камтыган татаал көп баскычтуу процесс. Баштапкы фаза кабыл алуучу клеткалардын инфекциясынан жана вирустук геномдун интеграциясынан турат. Жашоо циклинин кеч фазасы вирустук геномдук продуктулардын жөнгө салынган экспрессиясынан, андан кийин вирустук бөлүкчөлөрдүн пайда болушунан турат. ВИЧ протеому 20 түрдүү молекуладан турат, алардын бир бөлүгү гана иммундук система тарабынан таанылат. Иммуногендик молекулалар сүрөттө көрсөтүлгөн. Төмөнкүлөрдөн мүмкүн болгон бардык туура айтылгандарды көрсөтүңүз.

17. На следующих схематических изображениях представлены два вида тяжелых врожденных пороков сердца, иногда встречающихся у новорожденных. Укажите все возможные верные утверждения из следующих __________________________________________________________________________
Төмөнкү диаграммалар кээде жаңы төрөлгөн балдарда пайда болгон оор тубаса жүрөк кемтиктеринин эки түрүн көрсөтөт. Төмөнкүлөрдөн мүмкүн болгон бардык туура айтылгандарды көрсөтүңүз

https://storage.tally.so/06b9f92c-4117-4300-ac69-84f3189152b3/Screenshot-2025-01-17-at-10.24.36.png
17. На следующих схематических изображениях представлены два вида тяжелых врожденных пороков сердца, иногда встречающихся у новорожденных. Укажите все возможные верные утверждения из следующих __________________________________________________________________________ Төмөнкү диаграммалар кээде жаңы төрөлгөн балдарда пайда болгон оор тубаса жүрөк кемтиктеринин эки түрүн көрсөтөт. Төмөнкүлөрдөн мүмкүн болгон бардык туура айтылгандарды көрсөтүңүз

18. На следующем рисунке представлен эксперимент, в котором дорзальная губа окрашенного в темный цвет эмбриона донора была трансплантирована на вентральную эктодерму окрашенного в светлый цвет эмбриона реципиента, который развивался далее у головастика. Развивающаяся вторая ось тела состоит главным образом из непигментированных клеток. Укажите все возможные неверные утверждения из следующих __________________________________________________________________________
Төмөнкү сүрөттө кара түстөгү донордук эмбриондун арткы эрини ачык түстө боёлгон реципиент эмбрионунун вентралдык эктодермасына кыйыштырылган экспериментти көрсөтүп турат, ал андан кийин таякчага айланган. Өнүгүп келе жаткан экинчи дене огу негизинен пигменттүү эмес клеткалардан турат. Төмөнкүлөрдөн мүмкүн болгон бардык туура эмес айтылгандарды көрсөтүңүз

https://storage.tally.so/1ed86675-93d7-4f4d-afcd-8a6c6cae5fef/Screenshot-2025-01-17-at-10.32.22.png
18. На следующем рисунке представлен эксперимент, в котором дорзальная губа окрашенного в темный цвет эмбриона донора была трансплантирована на вентральную эктодерму окрашенного в светлый цвет эмбриона реципиента, который развивался далее у головастика. Развивающаяся вторая ось тела состоит главным образом из непигментированных клеток. Укажите все возможные неверные утверждения из следующих __________________________________________________________________________ Төмөнкү сүрөттө кара түстөгү донордук эмбриондун арткы эрини ачык түстө боёлгон реципиент эмбрионунун вентралдык эктодермасына кыйыштырылган экспериментти көрсөтүп турат, ал андан кийин таякчага айланган. Өнүгүп келе жаткан экинчи дене огу негизинен пигменттүү эмес клеткалардан турат. Төмөнкүлөрдөн мүмкүн болгон бардык туура эмес айтылгандарды көрсөтүңүз

19. На рисунке ниже представлена схема строения сетчатки человека. Чувствительностью к свету обладают клетки под номерами: __________________________________________________________________________
Төмөндөгү сүрөттө адамдын торчо челинин түзүлүшүнүн диаграммасы көрсөтүлгөн. Төмөнкү сандары бар клеткалар жарыкты сезет:

https://storage.tally.so/8e89a18a-0f0c-4766-9ed9-d70d98497bd6/Screenshot-2025-01-17-at-10.39.31.png
19. На рисунке ниже представлена схема строения сетчатки человека. Чувствительностью к свету обладают клетки под номерами: __________________________________________________________________________ Төмөндөгү сүрөттө адамдын торчо челинин түзүлүшүнүн диаграммасы көрсөтүлгөн. Төмөнкү сандары бар клеткалар жарыкты сезет:

20. Мужчина пострадал в автомобильной аварии, ему необходимо срочное переливание крови. Анализ показал, что его группу крови определяют агглютиноген А и агглютинин бета. Выберите из пред-ложенных вариантов подходящего донора.
1 - женщина с кровью, содержащей агглютиноген А и агглютинин бета;
2 - мужчина с кровью, содержащей агглютиноген В и агглютинин альфа;
3 - женщина с кровью, содержащей только агглютиноген АВ; 4 - мужчина с кровью, содержащей только агглютинин альфа и бета. __________________________________________________________________________
Жол кырсыгынан бир киши жабыркап, ага тез арада кан куюу керек. Анализ көрсөткөндөй, анын кан тобу агглютиноген А жана агглютинин бета менен аныкталат. Сунушталган варианттардан ылайыктуу донорду тандаңыз.
1 - агглютиноген А жана агглютинин бета бар каны бар аял;
2 - агглютиноген В жана агглютинин альфа бар каны бар адам;
3 - бир гана агглютиноген AB бар каны бар аял; 4 - бир гана агглютинин альфа жана бета камтыган каны бар адам.

20. Мужчина пострадал в автомобильной аварии, ему необходимо срочное переливание крови. Анализ показал, что его группу крови определяют агглютиноген А и агглютинин бета. Выберите из пред-ложенных вариантов подходящего донора.1 - женщина с кровью, содержащей агглютиноген А и агглютинин бета;2 - мужчина с кровью, содержащей агглютиноген В и агглютинин альфа;3 - женщина с кровью, содержащей только агглютиноген АВ; 4 - мужчина с кровью, содержащей только агглютинин альфа и бета. __________________________________________________________________________ Жол кырсыгынан бир киши жабыркап, ага тез арада кан куюу керек. Анализ көрсөткөндөй, анын кан тобу агглютиноген А жана агглютинин бета менен аныкталат. Сунушталган варианттардан ылайыктуу донорду тандаңыз.1 - агглютиноген А жана агглютинин бета бар каны бар аял;2 - агглютиноген В жана агглютинин альфа бар каны бар адам;3 - бир гана агглютиноген AB бар каны бар аял; 4 - бир гана агглютинин альфа жана бета камтыган каны бар адам.
A
B
C
D
E

Анатомия и Физиология Растений
Өсүмдүктөрдүн анатомиясы жана физиологиясы

21. В процессе эволюции преимущество получили те признаки, которые позволили выжить в сложных условиях среды обитания. Так, например, воздушные корни орхидеи позволяют впитывать влагу из атмосферного воздуха.На картинке представлен болотный кипарис с необычными корнями. Какова функция такого видоизменения корней? __________________________________________________________________________

Эволюция процессинде жашоо шарттарынын кыйынчылыктарында аман калууга мүмкүндүк берген өзгөчөлүктөр артыкчылыкка ээ болгон. Мисалы, орхидеялардын абадагы тамырлары атмосфералык абадан ным сиңирүүгө мүмкүндүк берет. Сүрөттө өзгөчө тамырлары бар саз кипариси көрсөтүлгөн. Мындай өзгөргөн тамырлардын функциясы кандай?


https://storage.tally.so/834e4bf9-13ed-4b85-b211-c1718c44ed21/picture_of_the_day_taxodium_distichum_4.jpg
21. В процессе эволюции преимущество получили те признаки, которые позволили выжить в сложных условиях среды обитания. Так, например, воздушные корни орхидеи позволяют впитывать влагу из атмосферного воздуха.На картинке представлен болотный кипарис с необычными корнями. Какова функция такого видоизменения корней? __________________________________________________________________________Эволюция процессинде жашоо шарттарынын кыйынчылыктарында аман калууга мүмкүндүк берген өзгөчөлүктөр артыкчылыкка ээ болгон. Мисалы, орхидеялардын абадагы тамырлары атмосфералык абадан ным сиңирүүгө мүмкүндүк берет. Сүрөттө өзгөчө тамырлары бар саз кипариси көрсөтүлгөн. Мындай өзгөргөн тамырлардын функциясы кандай?
A
B
C
D

22. Вы сорвали несколько неспелых яблок и положили их в пакет. Через некоторое время, случайно, вы добавили в этот пакет спелый банан. Спустя несколько дней вы заметили, что яблоки стали мягкими, изменили цвет и полностью созрели. Какой гормон, выделяемый бананом, вызвал ускоренное созревание яблок?

__________________________________________________________________________

Сиз бир нече быша элек алмаларды үзүп, пакетка салып койдуңуз. Бир аз убакыттан кийин, кокусунан, ошол пакетке бышкан бананды кошуп койдуңуз. Бир нече күн өткөндөн кийин, алмалар жумшарып, өңүн өзгөртүп, толук бышып калганын байкадыңыз. Банан бөлүп чыгарган кайсы гормон алмалардын тез бышуусун шарттады?

22. Вы сорвали несколько неспелых яблок и положили их в пакет. Через некоторое время, случайно, вы добавили в этот пакет спелый банан. Спустя несколько дней вы заметили, что яблоки стали мягкими, изменили цвет и полностью созрели. Какой гормон, выделяемый бананом, вызвал ускоренное созревание яблок? __________________________________________________________________________Сиз бир нече быша элек алмаларды үзүп, пакетка салып койдуңуз. Бир аз убакыттан кийин, кокусунан, ошол пакетке бышкан бананды кошуп койдуңуз. Бир нече күн өткөндөн кийин, алмалар жумшарып, өңүн өзгөртүп, толук бышып калганын байкадыңыз. Банан бөлүп чыгарган кайсы гормон алмалардын тез бышуусун шарттады?
A
B
C
D

23. Осенью во время листопада листья клёна краснеют и опадают. Но во время прогулки ранней весной можно заметить, что молодые листочки клёна имеют тёмно-красную окраску. Со временем лист вырастет и станет зелёным, оставаясь таким всё лето. Выберите наиболее вероятную причину покраснения молодых листьев.

__________________________________________________________________________

Күзүндө жалбырактардын түшүүсү учурунда клён дарагынын жалбырактары кызарып, түшүп калат. Бирок жаздын башында сейилдөөнүн учурунда клёндун жаш жалбырактары кара-кызыл түстө болорун байкаса болот. Көп өтпөй жалбырактар өсүп, жашыл түскө айланып, жай бою жашыл бойдон калат. Жаш жалбырактардын кызыл түскө боёлушунун эң ыктымал себебин тандаңыз.

https://storage.tally.so/ff5ddf5c-ac3c-4183-a335-7209958030de/Screenshot-2025-01-17-at-06.36.37.png
23. Осенью во время листопада листья клёна краснеют и опадают. Но во время прогулки ранней весной можно заметить, что молодые листочки клёна имеют тёмно-красную окраску. Со временем лист вырастет и станет зелёным, оставаясь таким всё лето. Выберите наиболее вероятную причину покраснения молодых листьев.__________________________________________________________________________Күзүндө жалбырактардын түшүүсү учурунда клён дарагынын жалбырактары кызарып, түшүп калат. Бирок жаздын башында сейилдөөнүн учурунда клёндун жаш жалбырактары кара-кызыл түстө болорун байкаса болот. Көп өтпөй жалбырактар өсүп, жашыл түскө айланып, жай бою жашыл бойдон калат. Жаш жалбырактардын кызыл түскө боёлушунун эң ыктымал себебин тандаңыз.
A
B
C
D

24. Плауны – представители высших споровых растений. В нашей стране самым распространённым видом является плаун булавовидный (Lycopodium clavatum). Размножение плаунов весьма интересный процесс. Какое поколение преобладает в их жизненном цикле?
__________________________________________________________________________
Плауны – бул жогорку споралуу өсүмдүктөрдүн өкүлдөрү. Биздин өлкөдө эң көп кездешкен түрү – булав сымал плаун (Lycopodium clavatum). Плауңдардын көбөйүү процесси абдан кызыктуу. Алардын жашоо циклинде кайсы муун үстөмдүк кылат?

https://storage.tally.so/dcc32637-6493-48f3-9cf7-c3ea2e2d0d31/Screenshot-2025-01-17-at-06.40.50.png
24. Плауны – представители высших споровых растений. В нашей стране самым распространённым видом является плаун булавовидный (Lycopodium clavatum). Размножение плаунов весьма интересный процесс. Какое поколение преобладает в их жизненном цикле?__________________________________________________________________________Плауны – бул жогорку споралуу өсүмдүктөрдүн өкүлдөрү. Биздин өлкөдө эң көп кездешкен түрү – булав сымал плаун (Lycopodium clavatum). Плауңдардын көбөйүү процесси абдан кызыктуу. Алардын жашоо циклинде кайсы муун үстөмдүк кылат?
A
B
C
D

25. На картинке ниже показан поперечный срез стебля двудольного растения. Под каким номером обозначена ксилема?

__________________________________________________________________________
Төмөндөгү сүрөттө эки үлүштүү өсүмдүктүн сабагынын кесилиши көрсөтүлгөн. Ксилема кайсы сан менен белгиленген?

https://storage.tally.so/9a2e8c1b-ca55-4e4e-9ca7-88dd4ed4a870/Screenshot-2025-01-17-at-06.42.27.png
25. На картинке ниже показан поперечный срез стебля двудольного растения. Под каким номером обозначена ксилема? __________________________________________________________________________Төмөндөгү сүрөттө эки үлүштүү өсүмдүктүн сабагынын кесилиши көрсөтүлгөн. Ксилема кайсы сан менен белгиленген?
A
B
C
D
E
F

26. Определите тип плода по описанию: «Небольшой плод с кожистым перикарпием, не срастающимся с семенем; часто плоды снабжены летучками; плоды характерны для растений семейства Сложноцветные».
__________________________________________________________________________
Сүрөттөмөдөн мөмөнүн түрүн аныктаңыз: «Уругу менен бирикпеген булгаары перикарптуу кичинекей мөмө; көп учурда мөмөлөр учууга жардам берген структура менен жабдылган; мөмөлөрү "Татаал гүлдүүлөр" тукумундагы өсүмдүктөргө мүнөздүү.

26. Определите тип плода по описанию: «Небольшой плод с кожистым перикарпием, не срастающимся с семенем; часто плоды снабжены летучками; плоды характерны для растений семейства Сложноцветные». __________________________________________________________________________Сүрөттөмөдөн мөмөнүн түрүн аныктаңыз: «Уругу менен бирикпеген булгаары перикарптуу кичинекей мөмө; көп учурда мөмөлөр учууга жардам берген структура менен жабдылган; мөмөлөрү "Татаал гүлдүүлөр" тукумундагы өсүмдүктөргө мүнөздүү.
A
B
C
D
E

27. У цветковых растений в результате двойного оплодотворения образуется эндосперм. Сохраняясь в семени, эндосперм в основном имеет функцию:
__________________________________________________________________________
Гүлдүү өсүмдүктөрдө кош уруктануу процесси натыйжасында эндосперм пайда болот. Эндосперм урукта сакталып, негизинен төмөнкү функцияны аткарат:


27. У цветковых растений в результате двойного оплодотворения образуется эндосперм. Сохраняясь в семени, эндосперм в основном имеет функцию: __________________________________________________________________________Гүлдүү өсүмдүктөрдө кош уруктануу процесси натыйжасында эндосперм пайда болот. Эндосперм урукта сакталып, негизинен төмөнкү функцияны аткарат:
A
B
C
D

Генетика

28. Сколько гамет возможно у особи с генотипом AaBbCCddEeff __________________________________________________________________________
AaBbCCddEeff генотиби бар адамдарда канча гамета болушу мүмкүн

28. Сколько гамет возможно у особи с генотипом AaBbCCddEeff __________________________________________________________________________ AaBbCCddEeff генотиби бар адамдарда канча гамета болушу мүмкүн
A
B
C
D
E

29. Частота встречаемости аутосомно-рецессивного наследственного заболевания составляет 1 из 4. Если предположить, что популяция, пораженная этим заболеванием, находится в равновесии Харди-Вайнберга, какова доля носителей в этой популяции? __________________________________________________________________________
Аутосомдук-рецессивдүү тукум кууган оорунун пайда болушу 4төн 1ди түзөт. Бузулуудан жабыркаган популяция Харди-Вайнберг тең салмактуулугунда деп эсептесек, популяциядагы алып жүрүүчүлөрдүн үлүшү канча?

29. Частота встречаемости аутосомно-рецессивного наследственного заболевания составляет 1 из 4. Если предположить, что популяция, пораженная этим заболеванием, находится в равновесии Харди-Вайнберга, какова доля носителей в этой популяции? __________________________________________________________________________ Аутосомдук-рецессивдүү тукум кууган оорунун пайда болушу 4төн 1ди түзөт. Бузулуудан жабыркаган популяция Харди-Вайнберг тең салмактуулугунда деп эсептесек, популяциядагы алып жүрүүчүлөрдүн үлүшү канча?
A
B
C
D
E

30. Муковисцидоз — это аутосомно-рецессивное заболевание, вызванное мутациями в гене регулятора трансмембранной проводимости муковисцидоза (CFTR). У людей с муковисцидозом в легких и других органах скапливается липкая слизь. Эта слизь может привести к инфекциям и дополнительным осложнениям. Какая из следующих родословных демонстрирует вероятную схему наследования в семье с историей муковисцидоза?
__________________________________________________________________________
Муковистикалык фиброз – муковоздук фиброз трансмембраналык өткөргүчтүк жөнгө салуучу (CFTR) гениндеги мутациялардан улам келип чыккан аутосомдук рецессивдүү оору. Муковисцидоз менен ооруган адамдардын өпкөсүндө жана башка органдарында жабышчаак былжыр пайда болот. Бул былжыр жугуштуу ооруларга жана андан аркы кыйынчылыктарга алып келиши мүмкүн. Төмөндөгү асыл тукумдардын кайсынысы кыстаздык фиброз тарыхы бар үй-бүлөдө тукум куучулуктун ыктымалдуу үлгүсүн көрсөтөт?

https://storage.tally.so/9fda266d-97ea-4721-a4e5-d7d3bc1b7ba1/Screenshot-2025-01-17-at-07.19.16.png
30. Муковисцидоз — это аутосомно-рецессивное заболевание, вызванное мутациями в гене регулятора трансмембранной проводимости муковисцидоза (CFTR). У людей с муковисцидозом в легких и других органах скапливается липкая слизь. Эта слизь может привести к инфекциям и дополнительным осложнениям. Какая из следующих родословных демонстрирует вероятную схему наследования в семье с историей муковисцидоза?__________________________________________________________________________Муковистикалык фиброз – муковоздук фиброз трансмембраналык өткөргүчтүк жөнгө салуучу (CFTR) гениндеги мутациялардан улам келип чыккан аутосомдук рецессивдүү оору. Муковисцидоз менен ооруган адамдардын өпкөсүндө жана башка органдарында жабышчаак былжыр пайда болот. Бул былжыр жугуштуу ооруларга жана андан аркы кыйынчылыктарга алып келиши мүмкүн. Төмөндөгү асыл тукумдардын кайсынысы кыстаздык фиброз тарыхы бар үй-бүлөдө тукум куучулуктун ыктымалдуу үлгүсүн көрсөтөт?
A
B
C
D

31. Приведенные ниже данные представляют собой результаты трех различных скрещиваний, в которых один ген определяет, будет ли определенный организм красным или зеленым.
Что из перечисленного ниже наилучшим образом описывает механизм наследования гена?
__________________________________________________________________________
Төмөндөгү маалыматтар бир ген белгилүү бир организмдин кызыл же жашыл болорун аныктаган үч түрдүү кайчылаш натыйжаларды билдирет.
Төмөндөгүлөрдүн кайсынысы гендердин тукум куучулук механизмин эң жакшы сүрөттөйт?

https://storage.tally.so/b75cd5ce-0f56-4438-93e2-2f95bd3eaf24/Screenshot-2025-01-17-at-07.37.01.png
https://storage.tally.so/43b0d795-dcac-4d86-a12d-61ec8c9822a8/Screenshot-2025-01-17-at-07.37.12.png
31. Приведенные ниже данные представляют собой результаты трех различных скрещиваний, в которых один ген определяет, будет ли определенный организм красным или зеленым.Что из перечисленного ниже наилучшим образом описывает механизм наследования гена? __________________________________________________________________________ Төмөндөгү маалыматтар бир ген белгилүү бир организмдин кызыл же жашыл болорун аныктаган үч түрдүү кайчылаш натыйжаларды билдирет.Төмөндөгүлөрдүн кайсынысы гендердин тукум куучулук механизмин эң жакшы сүрөттөйт?
A
B
C
D

32. Группа студентов изучает наследование окраски цветков у гороха посевного (Pisum sativum). Они получают горох с пурпурными цветками неизвестного происхождения, позволяют ему самоопыляться и собирают 60 его семян. После посадки семян они наблюдают за ростом 42 растений с пурпурными цветками и 18 растений с белыми цветками. Что из перечисленного лучше всего объясняет окраску цветков у потомства? __________________________________________________________________________
Студенттердин тобу кадимки буурчак (Pisum sativum) гүл түсүнүн тукум куумун изилдешет. Алар келип чыгышы белгисиз кызгылт көк гүлдөрү бар буурчак өсүмдүктөрүн алып, анын өз алдынча чаңдашуусуна шарт түзүп, анын 60 уругунан чогултушат. Уруктарды сепкенден кийин алар 42 кызгылт гүлдүү жана 18 ак гүлдүү өсүмдүктөрдүн өсүп жатканын көрүшөт. Төмөндөгүлөрдүн кайсынысы тукумдун гүл түсүн эң жакшы түшүндүрөт?

32. Группа студентов изучает наследование окраски цветков у гороха посевного (Pisum sativum). Они получают горох с пурпурными цветками неизвестного происхождения, позволяют ему самоопыляться и собирают 60 его семян. После посадки семян они наблюдают за ростом 42 растений с пурпурными цветками и 18 растений с белыми цветками. Что из перечисленного лучше всего объясняет окраску цветков у потомства? __________________________________________________________________________Студенттердин тобу кадимки буурчак (Pisum sativum) гүл түсүнүн тукум куумун изилдешет. Алар келип чыгышы белгисиз кызгылт көк гүлдөрү бар буурчак өсүмдүктөрүн алып, анын өз алдынча чаңдашуусуна шарт түзүп, анын 60 уругунан чогултушат. Уруктарды сепкенден кийин алар 42 кызгылт гүлдүү жана 18 ак гүлдүү өсүмдүктөрдүн өсүп жатканын көрүшөт. Төмөндөгүлөрдүн кайсынысы тукумдун гүл түсүн эң жакшы түшүндүрөт?
A
B
C
D

33. Биолог Бактыбек изучает генетику определенного вида растений. Он знает, что одно растение может содержать сотни отдельных семян, каждое из которых является результатом отдельного события оплодотворения. Он определяет, что форма семян контролируется одним геном с двумя аллелями. Доминантный аллель приводит к круглым семенам, а рецессивный аллель — к морщинистым семенам.

В последующем эксперименте биолог скрещивает два гетерозиготных растения. Какой из следующих вариантов является наилучшим прогнозом частоты появления морщинистых семян в результате этого скрещивания? __________________________________________________________________________
Биолог Бактыбек өсүмдүктүн белгилүү бир түрүнүн генетикасын изилдейт. Ал бир өсүмдүктүн ар бири өзүнчө бир уруктандыруу окуясынын натыйжасы болгон жүздөгөн жеке уруктарды камтышы мүмкүн экенин билет. Ал уруктун формасы эки аллельдүү бир ген тарабынан башкарылаарын аныктайт. Доминант аллельден тегерек уруктар, ал эми рецессивдик аллельден бырыштуу уруктар пайда болот.

Кийинки экспериментте биолог эки гетерозиготалуу өсүмдүктөрдү кесип өтөт. Төмөнкүлөрдүн кайсынысы бул кайчылаштын натыйжасында бырыштуу уруктардын жыштыгын эң жакшы алдын ала айтат?

33. Биолог Бактыбек изучает генетику определенного вида растений. Он знает, что одно растение может содержать сотни отдельных семян, каждое из которых является результатом отдельного события оплодотворения. Он определяет, что форма семян контролируется одним геном с двумя аллелями. Доминантный аллель приводит к круглым семенам, а рецессивный аллель — к морщинистым семенам.В последующем эксперименте биолог скрещивает два гетерозиготных растения. Какой из следующих вариантов является наилучшим прогнозом частоты появления морщинистых семян в результате этого скрещивания? __________________________________________________________________________Биолог Бактыбек өсүмдүктүн белгилүү бир түрүнүн генетикасын изилдейт. Ал бир өсүмдүктүн ар бири өзүнчө бир уруктандыруу окуясынын натыйжасы болгон жүздөгөн жеке уруктарды камтышы мүмкүн экенин билет. Ал уруктун формасы эки аллельдүү бир ген тарабынан башкарылаарын аныктайт. Доминант аллельден тегерек уруктар, ал эми рецессивдик аллельден бырыштуу уруктар пайда болот.Кийинки экспериментте биолог эки гетерозиготалуу өсүмдүктөрдү кесип өтөт. Төмөнкүлөрдүн кайсынысы бул кайчылаштын натыйжасында бырыштуу уруктардын жыштыгын эң жакшы алдын ала айтат?
A
B
C
D
E

34. Болезнь Хантингтона — редкое наследственное заболевание, вызванное аутосомно-доминантным аллелем гена хантингтина. По мере старения людей с этим заболеванием их нейроны дегенерируют с ускоренной скоростью по сравнению с людьми без этого заболевания. Какая из следующих родословных демонстрирует вероятную модель наследования в семье с историей болезни Гентингтона? __________________________________________________________________________
Хантингтон оорусу - хантингтин генинин аутосомалуу басымдуу аллели менен шартталган сейрек тукум куума оору. Оору менен ооруган адамдар жашы өткөн сайын, алардын нейрондору оорусу жок адамдарга салыштырмалуу тезирээк темп менен бузулат. Төмөндөгү асыл тукумдардын кайсынысы тарыхында Хантингтон оорусу бар үй-бүлөдө тукум куучулуктун ыктымалдуу үлгүсүн көрсөтөт?

https://storage.tally.so/931ec8ca-dfa2-4cc2-b565-720d6bfb9fec/Screenshot-2025-01-17-at-07.51.06.png
34. Болезнь Хантингтона — редкое наследственное заболевание, вызванное аутосомно-доминантным аллелем гена хантингтина. По мере старения людей с этим заболеванием их нейроны дегенерируют с ускоренной скоростью по сравнению с людьми без этого заболевания. Какая из следующих родословных демонстрирует вероятную модель наследования в семье с историей болезни Гентингтона? __________________________________________________________________________Хантингтон оорусу - хантингтин генинин аутосомалуу басымдуу аллели менен шартталган сейрек тукум куума оору. Оору менен ооруган адамдар жашы өткөн сайын, алардын нейрондору оорусу жок адамдарга салыштырмалуу тезирээк темп менен бузулат. Төмөндөгү асыл тукумдардын кайсынысы тарыхында Хантингтон оорусу бар үй-бүлөдө тукум куучулуктун ыктымалдуу үлгүсүн көрсөтөт?
A
B
C
D

Биологическая систематика Биологиялык систематика

35. Личинки Sarcophaga stricklandi отдаляются от яркого источника света. Это пример… __________________________________________________________________________

Sarcophaga stricklandi личинкалары жаркыраган жарык булагынан алыстайт. Бул мисал…

https://storage.tally.so/96e4b9fe-6737-49a1-8171-5acf587e8878/Screenshot-2025-01-17-at-09.12.06.png
35. Личинки Sarcophaga stricklandi отдаляются от яркого источника света. Это пример… __________________________________________________________________________ Sarcophaga stricklandi личинкалары жаркыраган жарык булагынан алыстайт. Бул мисал…
A
B
C
D

36. Ниже приведено описание и фотография организма:

Встречаются в юго-восточной и юго-западной Канаде и лесистых районах США. Обитают в лесной подстилке, под камнями и стволами упавших деревьев. Активны ночью и в сумерках (могут быть активны днём после дождя). Самка откладывает яйца во влажном убежище на суше и охраняет их. На суше протекает и весь жизненный цикл. К какому классу относится данный организм? __________________________________________________________________________

Төмөндө организмдин сүрөттөлүшү жана сүрөтү:

Канаданын түштүк-чыгышында жана түштүк-батышында жана АКШнын токойлуу аймактарында кездешет. Алар токой таштандыларында, таштардын астында жана кулаган дарак сөңгөгүндө жашашат. Түнкүсүн жана күүгүмдө активдүү (жамгырдан кийин күндүз активдүү болушу мүмкүн). Ургаачысы жумурткаларын кургактыктагы нымдуу жайга таштап, аларды кайтарат. Бүт жашоо цикли кургактыкта ​​өтөт.

Бул организм кайсы класска кирет?

https://storage.tally.so/896847b9-f57a-4de1-8747-b2b8b5f22d2f/Screenshot-2025-01-17-at-09.15.58.png
36. Ниже приведено описание и фотография организма:Встречаются в юго-восточной и юго-западной Канаде и лесистых районах США. Обитают в лесной подстилке, под камнями и стволами упавших деревьев. Активны ночью и в сумерках (могут быть активны днём после дождя). Самка откладывает яйца во влажном убежище на суше и охраняет их. На суше протекает и весь жизненный цикл. К какому классу относится данный организм? __________________________________________________________________________ Төмөндө организмдин сүрөттөлүшү жана сүрөтү:Канаданын түштүк-чыгышында жана түштүк-батышында жана АКШнын токойлуу аймактарында кездешет. Алар токой таштандыларында, таштардын астында жана кулаган дарак сөңгөгүндө жашашат. Түнкүсүн жана күүгүмдө активдүү (жамгырдан кийин күндүз активдүү болушу мүмкүн). Ургаачысы жумурткаларын кургактыктагы нымдуу жайга таштап, аларды кайтарат. Бүт жашоо цикли кургактыкта ​​өтөт.Бул организм кайсы класска кирет?
A
B
C
D

37. Часть бактреии, помеченная цифрой «9», выполняет функцию______. __________________________________________________________________________

Бактериялардын "9" саны менен белгиленген бөлүгү ______ функциясын аткарат.

https://storage.tally.so/43ada21f-1ac3-4509-961a-0405a072d759/Screenshot-2025-01-17-at-09.16.52.png
37. Часть бактреии, помеченная цифрой «9», выполняет функцию______. __________________________________________________________________________ Бактериялардын "9" саны менен белгиленген бөлүгү ______ функциясын аткарат.
A
B
C
D
E

38. Кремнезем является основным компонентом клеточной стенки у: __________________________________________________________________________

Кремний диоксиди клетка дубалынын негизги компоненти болуп саналат:

38. Кремнезем является основным компонентом клеточной стенки у: __________________________________________________________________________ Кремний диоксиди клетка дубалынын негизги компоненти болуп саналат:
A
B
C
D
E

ЭТОЛОГИЯ

39. Ниже перечислены четыре типа поведения животных. Выберите букву фразы, которая больше всего ассоциируется со следующим примером:
Кошка бежит к своей миске с едой, когда слышит звук консервного ножа. Какой из следующих механизмов приводит к такому поведению? __________________________________________________________________________
Төмөндө жаныбарлардын жүрүм-турумунун төрт түрү келтирилген. Төмөнкү мисалга эң окшош сөз айкашынын тамгасын тандаңыз:
Мышык банка ачкычтын үнүн укканда, өзүнүн идишине чуркайт. Бул жүрүм-турумга төмөндөгү механизмдердин кайсынысы себеп болот?

https://storage.tally.so/fb7f2614-ea69-49d1-a40d-0b58cf3a802b/Screenshot-2025-01-17-at-09.22.31.png
39. Ниже перечислены четыре типа поведения животных. Выберите букву фразы, которая больше всего ассоциируется со следующим примером:Кошка бежит к своей миске с едой, когда слышит звук консервного ножа. Какой из следующих механизмов приводит к такому поведению? __________________________________________________________________________Төмөндө жаныбарлардын жүрүм-турумунун төрт түрү келтирилген. Төмөнкү мисалга эң окшош сөз айкашынын тамгасын тандаңыз:Мышык банка ачкычтын үнүн укканда, өзүнүн идишине чуркайт. Бул жүрүм-турумга төмөндөгү механизмдердин кайсынысы себеп болот?
A
B
C
D

40. Что из перечисленного ниже лучше всего проверит гипотезу о том, что мотыльки прекращают летать в ответ на высокоинтенсивные звуки летучих мышей? __________________________________________________________________________

Төмөнкүлөрдүн кайсынысы жарганаттын катуу үндөрүнө жооп катары көпөлөктөр учууну токтотот деген гипотезаны эң жакшы текшерет?

40. Что из перечисленного ниже лучше всего проверит гипотезу о том, что мотыльки прекращают летать в ответ на высокоинтенсивные звуки летучих мышей? __________________________________________________________________________ Төмөнкүлөрдүн кайсынысы жарганаттын катуу үндөрүнө жооп катары көпөлөктөр учууну токтотот деген гипотезаны эң жакшы текшерет?
A
B
C
D

ЭКОЛОГИЯ

41. Какие условия могут способствовать расширению ареала популяции? __________________________________________________________________________

Калктын чөйрөсүнүн кеңейишине кандай шарттар түрткү бериши мүмкүн?

41. Какие условия могут способствовать расширению ареала популяции? __________________________________________________________________________ Калктын чөйрөсүнүн кеңейишине кандай шарттар түрткү бериши мүмкүн?
A
B
C
D
E

42. В одном из лесов Англии ученым было выловлено 80 березовых пядениц (Biston betularia). При осмотре выборки было обнаружено, что 52 из них представители меланистической формы (черная окраска), а остальные нормальной. Укажите верное утверждение: __________________________________________________________________________

Англиянын токойлорунун биринде окумуштуулар 80 калемпирдүү көпөлөктөрдү (Biston betularia) кармашкан. Үлгүлөрдү текшерүүдө алардын 52си меланистикалык форманын өкүлдөрү (кара түс), калгандары нормалдуу экени аныкталган. Туура билдирүүнү көрсөтүңүз:

42. В одном из лесов Англии ученым было выловлено 80 березовых пядениц (Biston betularia). При осмотре выборки было обнаружено, что 52 из них представители меланистической формы (черная окраска), а остальные нормальной. Укажите верное утверждение: __________________________________________________________________________ Англиянын токойлорунун биринде окумуштуулар 80 калемпирдүү көпөлөктөрдү (Biston betularia) кармашкан. Үлгүлөрдү текшерүүдө алардын 52си меланистикалык форманын өкүлдөрү (кара түс), калгандары нормалдуу экени аныкталган. Туура билдирүүнү көрсөтүңүз:
A
B
C

43. Энтомологом было выловлено 100 березовых пядениц. При осмотре выборки было обнаружено, что 87 из них представители меланистической формы (черная окраска), а остальные нормальной, ученый пометил пядениц и выпустил, а через сутки вновь выловил. Во втором вылове оказалось 4 меченые особи нормальной формы и 27 меланистической. Рассчитайте число пядениц в популяции, если миграции и смерти не было. __________________________________________________________________________

Энтомолог 100 кайың көпөлөктөрүн кармады. Үлгүнү карап чыкканда, алардын 87си меланисттик форманын өкүлдөрү экени, калгандары нормалдуу экендиги аныкталган жана окумуштуу көпөлөктөрдү белгилеп, аларды бир күндөн кийин кайра кармаган. Экинчи кармоого 4 нормалдуу формадагы жана 27 меланистикалык адам кирген. Миграция жана өлүм болбосо, калктын ичиндеги геометрлердин санын эсептегиле.

43. Энтомологом было выловлено 100 березовых пядениц. При осмотре выборки было обнаружено, что 87 из них представители меланистической формы (черная окраска), а остальные нормальной, ученый пометил пядениц и выпустил, а через сутки вновь выловил. Во втором вылове оказалось 4 меченые особи нормальной формы и 27 меланистической. Рассчитайте число пядениц в популяции, если миграции и смерти не было. __________________________________________________________________________ Энтомолог 100 кайың көпөлөктөрүн кармады. Үлгүнү карап чыкканда, алардын 87си меланисттик форманын өкүлдөрү экени, калгандары нормалдуу экендиги аныкталган жана окумуштуу көпөлөктөрдү белгилеп, аларды бир күндөн кийин кайра кармаган. Экинчи кармоого 4 нормалдуу формадагы жана 27 меланистикалык адам кирген. Миграция жана өлүм болбосо, калктын ичиндеги геометрлердин санын эсептегиле.
A
B
C
D

44. Какое из следующих поведений представлено стратегией «око за око» летучей мыши-вампира, которая делится кровью с другой летучей мышью, которая не является ее родственником? __________________________________________________________________________

Төмөнкү жүрүм-турумдардын кайсынысы канга тиешеси жок башка жарганат менен канды бөлүшкөн вампир жарганаттын тит-то-тат стратегиясын билдирет?

https://storage.tally.so/965dd58c-0f2c-40ef-8880-43bf60bd5f5f/Screenshot-2025-01-17-at-09.30.47.png
44. Какое из следующих поведений представлено стратегией «око за око» летучей мыши-вампира, которая делится кровью с другой летучей мышью, которая не является ее родственником? __________________________________________________________________________ Төмөнкү жүрүм-турумдардын кайсынысы канга тиешеси жок башка жарганат менен канды бөлүшкөн вампир жарганаттын тит-то-тат стратегиясын билдирет?
A
B
C
D